top of page


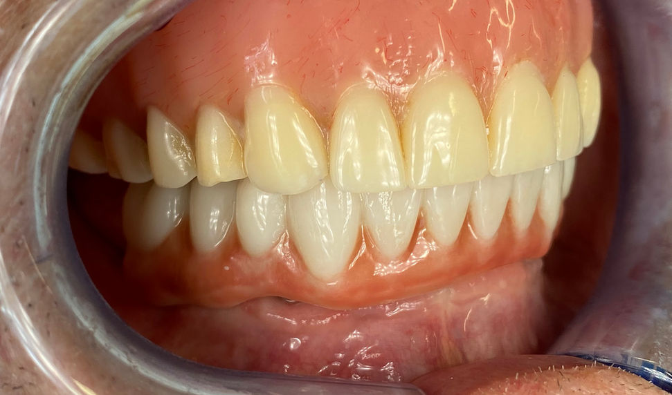
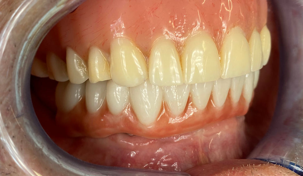
All-on-X Dental Implants
If you think your teeth are too far gone, let us take a look first (or second, or third). If this is truly the case and you are a good candidate, permanent dental implants may be the treatment of choice for you. In many cases, we can perform the entire treatment sequence right here at the clinic. From planning with a 3D scan, to the surgery, to making the teeth, we control every step of the process to ensure you get a durable, healthful, and pleasing result.
bottom of page





















